Skip to content Skip to sidebar Skip to footer

Schädel Hirn Trauma Grad 3 Spätfolgen

Schadel Hirn Trauma Munchner Arzt Erklart Die Kopfverletzung Gesundheit

Schadel Hirn Trauma Munchner Arzt Erklart Die Kopfverletzung Gesundheit

Schädel hirn trauma grad 3 spätfolgen. Der Patient erwacht nach bis zu einer Stunde. Schwere der Verletzung entscheidet über Höhe des Schmerzensgeldes Rund eine Viertelmillion Menschen leidet in Deutschland pro Jahr unter einem Schädel-Hirn-Trauma SHT. Wichtig ist dass der Patient sofort untersucht und angemessen behandelt wird damit die Folgen möglichst gering bleiben.

Komatöse und insbesondere Patienten mit Begleitverletzungen sowie alle offenen Schädel-Hirntraumen sollten in ein Zentrum gebracht werden das zu jeder Zeit in der Lage ist die Röntgendiagnostik die intensivmedizinische Überwachung und notwendige Operationen durchführen zu können. Das Schädel-Hirn-Trauma SHT ist definiert als die Folge einer Gewalteinwirkung die zu einer Verletzung und oder Funktionsstörung des Gehirns geführt hat 1. Eine perfekte Kombination um das Thema Schädel-.

Gleich mehrere Untersuchungen 1 2 3 haben ergeben dass Patienten mit einem Schädel-Hirn-Trauma ein erhöhtes Risiko haben später im Leben an einer Demenz zu leiden. Hierbei handelt es sich um ein schweres Schädel-Hirn-Trauma mit einem GCS zwischen 3 und 8 Punkten. 15 der Todesfälle SHT excl.

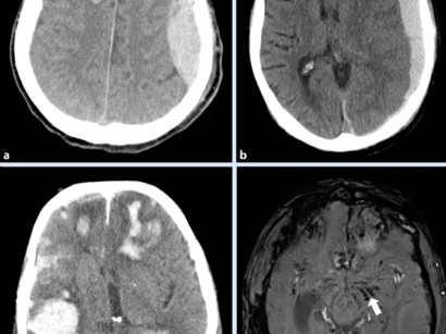
Was in den Köpfen vorgeht. Das schwere Schädel-Hirn-Trauma SHT 3 Länger als 30 Minuten andauernde Bewusstlosigkeit. In Abhängigkeit vom Verletzungsgrad der Weich-.

Schädel-Hirn-Trauma mit Spätfolgen. MTBI 2-3 der Unfälle insgesamt 4-5 der Heilkosten Ca. Es wird auch als Compressio cerebri oder Gehirnquetschung bezeichnet.

Wir sprechen mit einem der gleichzeitig Neurochirurg und Notfallmediziner ist. 7 der Rentenfälle Ca. Anhand des erzielten Punktwertes lässt sich das SHT in verschiedene Schweregrade unterteilen.

15 der Todesfälle Modifiziert nach Scholz Suva Luzern. Auch wenn der Vorfall zunächst komplikationslos ausgeheilt scheint steigt damit das Risiko später an Parkinson zu erkranken.

Das Schadel Hirn Trauma Klinik Via Medici

Das Schadel Hirn Trauma Klinik Via Medici

Schadel Hirn Trauma Sht Symptome Folgen Therapie Minimed At

Schadel Hirn Trauma Sht Symptome Folgen Therapie Minimed At

Https Siga Fsia Ch Files Ausbildung Abschlussarbeiten Xund Luzern 2017 Anaesthesieansaetze Zur Vermeidung Von Sekundaeren Hirnschaeden Tamara Kapser Pdf

Https Siga Fsia Ch Files Ausbildung Abschlussarbeiten Xund Luzern 2017 Anaesthesieansaetze Zur Vermeidung Von Sekundaeren Hirnschaeden Tamara Kapser Pdf

Was Ist Ein Schadel Hirn Trauma

Was Ist Ein Schadel Hirn Trauma

Das Schadel Hirn Trauma Klinik Via Medici

Das Schadel Hirn Trauma Klinik Via Medici

Schadel Hirn Trauma Wikipedia

Schadel Hirn Trauma Wikipedia

Schadel Hirn Trauma Erschutternde Folgen Spektrum Der Wissenschaft

Schadel Hirn Trauma Erschutternde Folgen Spektrum Der Wissenschaft

Schadel Hirn Trauma Symptome Behandlung Folgen Netdoktor

Schadel Hirn Trauma Symptome Behandlung Folgen Netdoktor

Gehirnerschutterung Commotio Cerebri Kopfschmerzenkopfschmerzen

Gehirnerschutterung Commotio Cerebri Kopfschmerzenkopfschmerzen

Das Schadel Hirn Trauma Klinik Via Medici

Das Schadel Hirn Trauma Klinik Via Medici

Schadel Hirn Trauma Sht Kopfverletzung

Schadel Hirn Trauma Sht Kopfverletzung

Schadel Hirn Trauma Welche Schweregrade Gibt Es Focus Arztsuche

Schadel Hirn Trauma Welche Schweregrade Gibt Es Focus Arztsuche

Schadel Hirn Trauma Apotheken Umschau

Schadel Hirn Trauma Apotheken Umschau

Neurologie Schadel Hirn Trauma Youtube

Neurologie Schadel Hirn Trauma Youtube

Schadel Hirn Trauma Sht Haufige Unfallfolge Mittelschweres Und Schweres Schadel Hirn Trauma Hirnprellung Beschwerden Und Uberwachung Onmeda De

Schadel Hirn Trauma Sht Haufige Unfallfolge Mittelschweres Und Schweres Schadel Hirn Trauma Hirnprellung Beschwerden Und Uberwachung Onmeda De

Schadel Hirn Trauma Weiterbildung Rettungsdienst Dipl Med U Peterseim Pdf Kostenfreier Download

Schadel Hirn Trauma Weiterbildung Rettungsdienst Dipl Med U Peterseim Pdf Kostenfreier Download

Akutes Schadel Hirn Trauma Mit Bewusstlosigkeit

Akutes Schadel Hirn Trauma Mit Bewusstlosigkeit

Schadel Hirn Trauma Erschutternde Folgen Spektrum Der Wissenschaft

Schadel Hirn Trauma Erschutternde Folgen Spektrum Der Wissenschaft

Schadel Hirn Trauma Sht Deutsche Gesellschaft Fur Unfallchirurgie

Schadel Hirn Trauma Sht Deutsche Gesellschaft Fur Unfallchirurgie

Michael Schumacher Drohen Nach Unfall Schwere Bleibende Schaden

Michael Schumacher Drohen Nach Unfall Schwere Bleibende Schaden

Schadel Hirn Trauma Worauf Es Bei Der Behandlung Ankommt

Schadel Hirn Trauma Worauf Es Bei Der Behandlung Ankommt

Schadel Hirn Trauma Klinik Via Medici

Schadel Hirn Trauma Klinik Via Medici

Akutes Schadel Hirn Trauma Mit Bewusstlosigkeit

Akutes Schadel Hirn Trauma Mit Bewusstlosigkeit

1

1

Schmerzensgeld Bei Einem Schadelhirntrauma Unfall 2021

Schmerzensgeld Bei Einem Schadelhirntrauma Unfall 2021

Management Des Schadel Hirn Traumas Im Kindesalter Springerlink

Management Des Schadel Hirn Traumas Im Kindesalter Springerlink

Https Www Uniklinikum Jena De Lbpathphys Media Downloads Pathophysiologie Skripten E Sht Walter 2020 Bio Und Ern C3 A4 Sht Fertig P 924 Pdf

Https Www Uniklinikum Jena De Lbpathphys Media Downloads Pathophysiologie Skripten E Sht Walter 2020 Bio Und Ern C3 A4 Sht Fertig P 924 Pdf

Schadel Hirn Trauma Sht Haufige Unfallfolge Onmeda De

Schadel Hirn Trauma Sht Haufige Unfallfolge Onmeda De

Das Leichte Schadel Hirn Trauma Im Sport Grin

Das Leichte Schadel Hirn Trauma Im Sport Grin

Schadel Hirn Trauma Therapie Mit Naturlichen Mitteln Nabo

Schadel Hirn Trauma Therapie Mit Naturlichen Mitteln Nabo

Pdf Brain Check Nach Schadel Hirn Trauma

Pdf Brain Check Nach Schadel Hirn Trauma

Schadel Hirn Trauma Anzeichen Ursachen Therapie Reha

Schadel Hirn Trauma Anzeichen Ursachen Therapie Reha

Erhohtes Demenzrisiko Auch Nach Leichtem Schadel Hirn Trauma

Erhohtes Demenzrisiko Auch Nach Leichtem Schadel Hirn Trauma

Gesundheitslexikon Schadel Hirn Trauma

Gesundheitslexikon Schadel Hirn Trauma

Schadel Hirn Trauma Tbi Verletzungen Vergiftungen Msd Manual Profi Ausgabe

Schadel Hirn Trauma Tbi Verletzungen Vergiftungen Msd Manual Profi Ausgabe

Http D Nb Info 967773962 34

Http D Nb Info 967773962 34

Schadel Hirn Trauma Schadel Hirn Trauma Springermedizin De

Schadel Hirn Trauma Schadel Hirn Trauma Springermedizin De

Https Oparu Uni Ulm De Xmlui Bitstream Handle 123456789 4447 Pauli Sht Mrt Fdiss Pdf Sequence 3 Isallowed Y

Https Oparu Uni Ulm De Xmlui Bitstream Handle 123456789 4447 Pauli Sht Mrt Fdiss Pdf Sequence 3 Isallowed Y

Schadel Hirn Trauma Bei Kindern Und Jugendlichen Springerlink

Schadel Hirn Trauma Bei Kindern Und Jugendlichen Springerlink

Pdf Serummarker Nach Schadel Hirn Trauma

Pdf Serummarker Nach Schadel Hirn Trauma

Schadel Hirn Trauma Erschutternde Folgen Spektrum Der Wissenschaft

Schadel Hirn Trauma Erschutternde Folgen Spektrum Der Wissenschaft

Schadel Hirn Trauma Symptome Behandlung Folgen Netdoktor

Schadel Hirn Trauma Symptome Behandlung Folgen Netdoktor

Akutmanagement Schadel Hirn Trauma Pin Up Docs Don T Panic

Akutmanagement Schadel Hirn Trauma Pin Up Docs Don T Panic

Musterseite 38 Georg Thieme Verlag

Musterseite 38 Georg Thieme Verlag

Https Www Bisp De Shareddocs Downloads Publikationen Athletenbrosch C3 Bcren Lsht Schaedel Hirn Trauma Sport Pdf Blob Publicationfile V 1

Https Www Bisp De Shareddocs Downloads Publikationen Athletenbrosch C3 Bcren Lsht Schaedel Hirn Trauma Sport Pdf Blob Publicationfile V 1

Schadel Hirn Trauma Welche Schweregrade Gibt Es Focus Arztsuche

Schadel Hirn Trauma Welche Schweregrade Gibt Es Focus Arztsuche

Schadel Hirn Trauma Schadel Hirn Trauma Psychische Folgen Werden Haufig Unterschatzt Springermedizin De

Schadel Hirn Trauma Schadel Hirn Trauma Psychische Folgen Werden Haufig Unterschatzt Springermedizin De

Schadel Hirn Trauma

Schadel Hirn Trauma

Https Encrypted Tbn0 Gstatic Com Images Q Tbn And9gcqmzubv Gtzfvsjscxmigfbs Xuthlgj1dsqb Pvl4rcbs1aiao Usqp Cau

Https Encrypted Tbn0 Gstatic Com Images Q Tbn And9gcqmzubv Gtzfvsjscxmigfbs Xuthlgj1dsqb Pvl4rcbs1aiao Usqp Cau

Hierbei handelt es sich um ein schweres Schädel-Hirn-Trauma mit einem GCS zwischen 3 und 8 Punkten.

Es kommt zu einer eingeschränkten Hirnleistungsschwäche wie zu einer allgemeinen Verlangsamung. Gehirn prallt gegen harten Schädelknochen. Schwere der Verletzung entscheidet über Höhe des Schmerzensgeldes Rund eine Viertelmillion Menschen leidet in Deutschland pro Jahr unter einem Schädel-Hirn-Trauma SHT. Mehr als Dreiviertel ca. Mittelschweres Schädel-Hirn-Trauma SHT 2. 15 der Todesfälle SHT excl. Die Bewusstlosigkeit hält in diesem Fall länger an. Hierbei handelt es sich um ein schweres Schädel-Hirn-Trauma mit einem GCS zwischen 3 und 8 Punkten. Komatöse und insbesondere Patienten mit Begleitverletzungen sowie alle offenen Schädel-Hirntraumen sollten in ein Zentrum gebracht werden das zu jeder Zeit in der Lage ist die Röntgendiagnostik die intensivmedizinische Überwachung und notwendige Operationen durchführen zu können.


Hierbei handelt es sich um ein schweres Schädel-Hirn-Trauma mit einem GCS zwischen 3 und 8 Punkten. Mittelschweres Schädel-Hirn-Trauma SHT 2. Die Bewusstlosigkeit hält in diesem Fall länger an. Schädel-Hirn-Trauma Zählen von den Folgen zu den schwersten Unfallarten SHT allgemein 15 der Unfälle insgesamt 65 der Heilkosten Ca. Es kommt zu einer eingeschränkten Hirnleistungsschwäche wie zu einer allgemeinen Verlangsamung. Beim Schädel-Hirn-Trauma kann man unterscheiden. 7 der Rentenfälle Ca.

Post a Comment for "Schädel Hirn Trauma Grad 3 Spätfolgen"