Skip to content Skip to sidebar Skip to footer

Will A Waterpik Help With Gum Disease

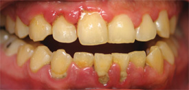
Gingivitis Treatment How To Reverse And Get Rid Of Gingivitis

Gingivitis Treatment How To Reverse And Get Rid Of Gingivitis

Will a waterpik help with gum disease. It doesnt generally remove visible film and. Sep 29 2017 Amazon. Those who have orthodontic appliances.

Moving from the back of the mouth toward the front thoroughly irrigate the tissues cleaning around every tooth while washing away plaque and debris. Instead take the salt water in the mouth and move it around for 15 to 30 seconds. BEST WATER FLOSSER FOR PERIODONTAL DISEASE An alarming amount of adult Americans 30 and over have periodontitis according to the Centers for Disease Control and Prevention.

The Waterpik Water Flosser is clinically proven to remove plaque and improve gum health. Waterpik contains no risk as compared to traditional floss. On April 6 2010 my dentist declared I had gum disease pockets one 7mm deep and fourteen 6mm deep.

In a study conducted at the University of Nebraska Medical Center results showed the Waterpik flosser to be 29 more effective at removing plaque than string floss. Additionally the pressure from the cleaning solution massages the gums increasing circulation and improving blood flow to the site which promotes the growth of healthy tissue. If you have periodontital disease periodontitis you may also experience periodontal pockets.

Pocketing can occur if your gums break down and separate from the teeth. As my gum disease has healed and my morning breath has gotten clean I have mostly phased out my use of germicides. By Aline Peres Martins.

The key to using salt water to help with gum disease is knowing how to do it. Water flossing ramps up your oral hygiene. On December 10 2012 my dentist told me I had no problems and gave me only a regular cleaning not a periodontal cleaning.

When done rinsing spit out the salt water. We recommend mixing about a teaspoon of sea salt in a glass of warm water.

You Have The Power To Prevent Dental Disease Dr Chris Strandburg

You Have The Power To Prevent Dental Disease Dr Chris Strandburg

Can Waterpik Water Flossers Damage My Gums Smilestore Co Nz

Can Waterpik Water Flossers Damage My Gums Smilestore Co Nz

Can A Waterpik Reverse Gum Disease The Toothsayer

Can A Waterpik Reverse Gum Disease The Toothsayer

Relevance Of The Water Flosser 50 Years Of Data Volume 33 Issue 4 Compendium

Relevance Of The Water Flosser 50 Years Of Data Volume 33 Issue 4 Compendium

Best Water Flosser For Gum Disease

Best Water Flosser For Gum Disease

Can A Waterpik Reverse Gum Disease The Toothsayer

Can A Waterpik Reverse Gum Disease The Toothsayer

Gum Disease Thomas J Munger Iii Dds

Gum Disease Thomas J Munger Iii Dds

You Have The Power To Prevent Dental Disease Dr Chris Strandburg

You Have The Power To Prevent Dental Disease Dr Chris Strandburg

How To Use One Correctly Which Model To Buy And How It Compares To Flossing Waterpiks

How To Use One Correctly Which Model To Buy And How It Compares To Flossing Waterpiks

Invest In Your Oral Health Buy A Waterpik

Invest In Your Oral Health Buy A Waterpik

Waterpik Water Flosser Tips Guide Tip Types Faqs

Waterpik Water Flosser Tips Guide Tip Types Faqs

Effective Periodontal Pocket Treatment Use A Waterpik Pik Pocket Tip

Effective Periodontal Pocket Treatment Use A Waterpik Pik Pocket Tip

Can Periogen And Water Flossing Stop Gum Disease And Bleeding Gums Carrie Ibbetson Rdh

Can Periogen And Water Flossing Stop Gum Disease And Bleeding Gums Carrie Ibbetson Rdh

Having Really Bad Pain From Gums Been Using A Water Pik With Hydrogen Peroxide Helps A Bit What S Wrong Dentistry

Having Really Bad Pain From Gums Been Using A Water Pik With Hydrogen Peroxide Helps A Bit What S Wrong Dentistry

Water Floss Against Gum Disease Niagara Periodontics

Water Floss Against Gum Disease Niagara Periodontics

Oral Irrigator Waterpik Studio Dentaire

Oral Irrigator Waterpik Studio Dentaire

You Have The Power To Prevent Dental Disease Dr Chris Strandburg

You Have The Power To Prevent Dental Disease Dr Chris Strandburg

Help With Receding Gums Toothstars

Help With Receding Gums Toothstars

How To Treat Periodontal Disease Waterpik Oral Care Edu

How To Treat Periodontal Disease Waterpik Oral Care Edu

Waterpik Malaysia Posts Facebook

Waterpik Malaysia Posts Facebook

You Have The Power To Prevent Dental Disease Dr Chris Strandburg

You Have The Power To Prevent Dental Disease Dr Chris Strandburg

Waterpik Cured My Gum Disease

Waterpik Cured My Gum Disease

Periodontal Therapy In Plantation My Dentist For Life

Periodontal Therapy In Plantation My Dentist For Life

1

1

Can A Waterpik Damage Your Gums Shreveport Dentist Benjamin M Kacos D M D Expert In Dental Implants Tooth Extraction Tmj Treatment And More

Can A Waterpik Damage Your Gums Shreveport Dentist Benjamin M Kacos D M D Expert In Dental Implants Tooth Extraction Tmj Treatment And More

Home Remedies Treating Gingivitis Using The Waterpik Water Flosser

Home Remedies Treating Gingivitis Using The Waterpik Water Flosser

You Have The Power To Prevent Dental Disease Dr Chris Strandburg

You Have The Power To Prevent Dental Disease Dr Chris Strandburg

4 Periodontal Orthodontic Replacement Tips For Waterpik Water Flosser Others Walmart Com Walmart Com

4 Periodontal Orthodontic Replacement Tips For Waterpik Water Flosser Others Walmart Com Walmart Com

Help With Receding Gums Toothstars

Help With Receding Gums Toothstars

Waterpik Cured My Gum Disease

Waterpik Cured My Gum Disease

Hydrogen Peroxide In Dentistry Registered Dental Hygienist Rdh Magazine

Hydrogen Peroxide In Dentistry Registered Dental Hygienist Rdh Magazine

What Is A Water Flosser And How Does It Work Carrollton Orthodontics

What Is A Water Flosser And How Does It Work Carrollton Orthodontics

The Waterpik Can Help Prevent Gum Disease And It S 50 Off Right Now Prevention

The Waterpik Can Help Prevent Gum Disease And It S 50 Off Right Now Prevention

Waterpik Vs Flossing Know Your Options

Waterpik Vs Flossing Know Your Options

Home Remedies Treating Gingivitis Using The Waterpik Water Flosser

Home Remedies Treating Gingivitis Using The Waterpik Water Flosser

Traditional Dental Floss Vs Water Flossers Tompkins Dental General Dentistry

Traditional Dental Floss Vs Water Flossers Tompkins Dental General Dentistry

Waterpik Vs Flossing Know Your Options

Waterpik Vs Flossing Know Your Options

How To Use A Waterpik Earther Academy

How To Use A Waterpik Earther Academy

Best Water Flosser 2021 From Waterpik To Phillips The Independent

Best Water Flosser 2021 From Waterpik To Phillips The Independent

What You Should Know About Using A Waterpik Eagle Harbor Dentist

What You Should Know About Using A Waterpik Eagle Harbor Dentist

Waterpik And The War On Periodontitis

Waterpik And The War On Periodontitis

Millennials How To Get Rid Of Gingivitis At Home

Millennials How To Get Rid Of Gingivitis At Home

Can A Waterpik Reverse Gum Disease The Toothsayer Uk

Can A Waterpik Reverse Gum Disease The Toothsayer Uk

What You Can Do To Stop Your Gums From Bleeding

What You Can Do To Stop Your Gums From Bleeding

How To Prevent Gingivitis And Gum Disease Water Flosser Guide

How To Prevent Gingivitis And Gum Disease Water Flosser Guide

Waterpik Ultra Plus Water Flosser Cordless Plus Water Flosser Costco Uk

Waterpik Ultra Plus Water Flosser Cordless Plus Water Flosser Costco Uk

Reverse Gum Disease Without Surgery The Mckenzie Center Implants Periodontics

Reverse Gum Disease Without Surgery The Mckenzie Center Implants Periodontics

How To Reverse Periodontitis

How To Reverse Periodontitis

Https Encrypted Tbn0 Gstatic Com Images Q Tbn And9gcqer Iarcolhbvoddc8hsqitzkihw6k5pwqa60imdf6ptjamytq Usqp Cau

Https Encrypted Tbn0 Gstatic Com Images Q Tbn And9gcqer Iarcolhbvoddc8hsqitzkihw6k5pwqa60imdf6ptjamytq Usqp Cau

Moving from the back of the mouth toward the front thoroughly irrigate the tissues cleaning around every tooth while washing away plaque and debris.

Water flossing ramps up your oral hygiene. Waterpiks can help to prevent gingivitis and plaque the common precursors of gum disease. Periodontitis is the advanced form of periodontal disease that approximately 647 Americans are living with. Can Waterpik Damage Gums. Waterpik contains no risk as compared to traditional floss. Furthermore water flossing is more effective at reducing the key components of gum disease. Those who find traditional flossing difficult ie. A Waterpik also known as a dental water jet oral irrigator or water flosser is an instrument that directs a surge of water at the teeth to help wash away food particles. Rinsing with salt water does not mean swallowing it.


Moving from the back of the mouth toward the front thoroughly irrigate the tissues cleaning around every tooth while washing away plaque and debris. Though the name Waterpik is a registered brand the term is often used to describe any instrument that jets water into the teeth to clean them. Bleeding gums is a tell-tale sign that you probably have some level of gum disease. A Waterpik also known as a dental water jet oral irrigator or water flosser is an instrument that directs a surge of water at the teeth to help wash away food particles. It is more common in men than in women and it increases with age. Any type of periodontal disease treatment requires good daily care at home. A water flosser is not as portable as string floss and therefore not as easy to use while youre on the go.

Post a Comment for "Will A Waterpik Help With Gum Disease"